Top 5 Nha Khoa Niềng Răng Sứ Dây Trong Uy Tín Nhất Tỉnh Nghệ An
Nội dung bài viết
1. Nha Khoa Tâm Đức
Nha Khoa Tâm Đức là một trong những địa chỉ nha khoa uy tín tại Nghệ An, sở hữu hai cơ sở tại thành phố Vinh. Với dịch vụ niềng răng mắc cài sứ dây trong, Nha Khoa Tâm Đức cam kết mang lại kết quả điều trị an toàn và hiệu quả cho khách hàng. Đội ngũ bác sĩ chuyên nghiệp, tận tâm cùng công nghệ niềng răng hiện đại đã giúp cơ sở này xây dựng được uy tín tại địa phương.
Nha Khoa Tâm Đức cung cấp dịch vụ niềng răng mắc cài sứ dây trong đạt chuẩn quốc tế, đảm bảo mang lại sự thoải mái và kết quả điều trị tối ưu cho bệnh nhân. Phòng khám có không gian hiện đại, thoáng mát, tạo cảm giác tin tưởng và dễ chịu cho người bệnh khi đến thăm khám.
Với đội ngũ bác sĩ giỏi, trang thiết bị tiên tiến và cam kết chất lượng, Nha Khoa Tâm Đức luôn là sự lựa chọn đáng tin cậy cho những ai có nhu cầu niềng răng mắc cài sứ dây trong tại Nghệ An.
THÔNG TIN LIÊN HỆ:
Địa chỉ: Liền Kề 06 Handico30 Đường Quang Trung, P. Lê Lợi, TP. Vinh, Nghệ An
203 Phùng Chí Kiên, P. Hà Huy Tập, TP. Vinh, Nghệ An
Điện thoại: 0847 819 888 - 0845 819 888
Email: [email protected]
Website: https://tamducnhakhoa.com/
Fanpage: https://www.facebook.com/nhakhoatamduc203
Giờ mở cửa: 06:00 - 21:00


2. Nha Khoa Thẩm Mỹ Hoàng Dung
Nha Khoa Thẩm Mỹ Hoàng Dung là một trong những địa chỉ nha khoa uy tín hàng đầu tại Nghệ An với hơn 20 năm kinh nghiệm trong việc chăm sóc sức khỏe răng miệng cho cộng đồng. Với 4 cơ sở tại các khu vực khác nhau, Nha Khoa Thẩm Mỹ Hoàng Dung luôn cam kết mang lại dịch vụ chất lượng và an toàn cho khách hàng.
Đội ngũ nha sĩ tại Nha Khoa Thẩm Mỹ Hoàng Dung không chỉ được đào tạo bài bản mà còn liên tục cập nhật những công nghệ mới nhất trong lĩnh vực nha khoa, đặc biệt là trong việc niềng răng mắc cài sứ và dây trong. Để mang lại nụ cười hoàn hảo, họ áp dụng những phương pháp hiện đại với tính thẩm mỹ cao, giúp khách hàng tự tin hơn trong cuộc sống.
Nha Khoa Thẩm Mỹ Hoàng Dung cam kết sử dụng các phương pháp niềng răng sứ dây trong hiệu quả và an toàn nhất, mang lại kết quả vượt trội cho khách hàng tại Nghệ An.
THÔNG TIN LIÊN HỆ:
Địa chỉ:
- 28 Cao Thắng, P. Quang Trung, TP. Vinh, Nghệ An - 0961 725 115
- Lô C12, KĐT Minh Khang, Đại Lộ Lê Nin, P. Hà Huy Tập, TP. Vinh, Nghệ An - 0969 837 115
- Xóm 4, X. Hoa Thành, H. Yên Thành, Nghệ An - 0972 179 115
- Xem thêm tại https://www.facebook.com/hoangdungdental
Điện thoại: 0976 616 066
Email: [email protected]
Fanpage: https://www.facebook.com/hoangdungdental


3. Nha Khoa Răng Xinh
Nha Khoa Răng Xinh chuyên cung cấp dịch vụ niềng răng mắc cài sứ, một phương pháp chỉnh nha thẩm mỹ và hiệu quả, mang lại kết quả nhanh chóng với tính thẩm mỹ vượt trội. Mắc cài sứ được gắn lên mặt trước của răng, tạo sự kín đáo và tự nhiên hơn so với mắc cài kim loại, làm cho việc niềng răng trở nên ít được chú ý. Chất liệu sứ sinh học của mắc cài đã được kiểm định nghiêm ngặt, đảm bảo không bị đổi màu và luôn giữ được vẻ sáng bóng.
Mắc cài sứ với thiết kế nhỏ gọn, tinh tế và màu sắc tự nhiên gần giống với màu răng thật, giúp tăng tính thẩm mỹ và tạo cảm giác thoải mái hơn cho khách hàng. Quá trình chỉnh nha trở nên nhẹ nhàng và ít ma sát nhờ lực kéo ổn định của mắc cài, đồng thời giúp rút ngắn thời gian điều trị. Tại Nha Khoa Răng Xinh, khách hàng sẽ được trải nghiệm dịch vụ niềng răng sứ dây trong chất lượng cao, mang đến nụ cười rạng rỡ và tự tin hơn.
THÔNG TIN LIÊN HỆ:
Địa chỉ:
- 76D Đường Hà Huy Tập, P. Hà Huy Tập, TP. Vinh, Nghệ An
- 65 Mai Hắc Đế, P. Quán Bàu, TP. Vinh, Nghệ An
Điện thoại: 0982 353 536 - 023 8627 2222
Email: [email protected]
Fanpage: https://www.facebook.com/nhakhoarangxinhtpvinh
Giờ mở cửa: 07:30 - 19:00


4. Nha Khoa Lạc Việt Intech
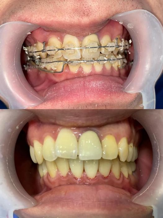
Niềng răng mắc cài sứ là giải pháp hiệu quả để điều chỉnh các vấn đề về vị trí răng như răng hô, lệch, hay nhỏ, mang lại nụ cười hoàn hảo và nâng cao chức năng ăn nhai. Nha Khoa Lạc Việt Intech tự hào là địa chỉ đáng tin cậy, chuyên cung cấp dịch vụ niềng răng mắc cài sứ dây trong tại tỉnh Nghệ An. Với dịch vụ trả góp không lãi suất, khách hàng có thể dễ dàng chia nhỏ chi phí trong suốt quá trình niềng, mang lại sự linh hoạt và tiết kiệm. Bên cạnh đó, Nha Khoa Lạc Việt Intech cam kết không phát sinh bất kỳ chi phí nào trong suốt liệu trình, tạo điều kiện thuận lợi cho khách hàng tiếp cận dịch vụ chất lượng mà không phải lo lắng về tài chính.
Đội ngũ bác sĩ tại đây đều là những chuyên gia giàu kinh nghiệm, luôn theo dõi sát sao và hỗ trợ tận tình từng bước điều trị. Phòng khám được trang bị công nghệ tiên tiến và thiết bị hiện đại, nhằm đảm bảo chất lượng điều trị tốt nhất. Nhờ vào sự chăm sóc tận tâm, chính sách minh bạch, Nha Khoa Lạc Việt Intech luôn nhận được sự tin tưởng và hài lòng của khách hàng, trở thành địa chỉ lựa chọn hàng đầu cho dịch vụ niềng răng mắc cài sứ tại Nghệ An.
THÔNG TIN LIÊN HỆ:
Địa chỉ: 24 Cao Thắng, P. Hồng Sơn, TP. Vinh, Nghệ An
Điện thoại: 0961 920 606
Email: [email protected]
Website: https://xmatrix.lacvietintech.vn/
Fanpage: https://www.facebook.com/nhakhoalacvietintech.jsc/
Giờ mở cửa: 08:00 - 18:30


5. Nha Khoa Paris
Nha Khoa Paris là một thương hiệu uy tín trong hệ thống các cơ sở nha khoa trực thuộc Bệnh viện RHM TM Paris, với 15 chi nhánh trải dài trên cả nước. Tại Nghệ An, Nha Khoa Paris trở thành địa chỉ đáng tin cậy cho dịch vụ niềng răng mắc cài sứ và dây trong, cam kết mang lại chất lượng vượt trội cho khách hàng.
Với đội ngũ bác sĩ chuyên nghiệp, dày dặn kinh nghiệm và công nghệ hiện đại, Nha Khoa Paris luôn chú trọng đến sự an toàn và hiệu quả trong quá trình điều trị, giúp bệnh nhân có trải nghiệm tuyệt vời và kết quả điều trị mỹ mãn.
Quy trình niềng răng tại Nha Khoa Paris tuân thủ các tiêu chuẩn khoa học nghiêm ngặt, đảm bảo sự hài lòng và tin tưởng từ khách hàng. Chính vì vậy, đây là lựa chọn hàng đầu cho những ai tìm kiếm một nơi uy tín để thực hiện niềng răng mắc cài sứ và dây trong tại tỉnh Nghệ An.
THÔNG TIN LIÊN HỆ:
Địa chỉ: 143 Nguyễn Văn Cừ, P. Hưng Bình, TP. Vinh, Nghệ An
Điện thoại: 1900 6900 - 0984 235 588
Email: [email protected]
Website: https://nhakhoaparis.vn/
Fanpage: https://www.facebook.com/nhakhoaparisVinh
Giờ mở cửa: 08:00 - 18:00


Có thể bạn quan tâm

Mã Code game Mộng Phi Tiên mới nhất, đừng bỏ lỡ cơ hội nhận những phần quà giá trị để khởi động hành trình tu tiên của bạn.

Top 8 bài phân tích hay nhất về ý nghĩa nhan đề bài thơ 'Mùa xuân nho nhỏ' của Thanh Hải (Ngữ văn 9)

Bộ sưu tập Code Play Together tháng 4/2023 - Nhận ngay phần thưởng siêu khủng

Bộ sưu tập Code Liên Quân Mobile tháng 3/2023 - Cập nhật mới nhất hôm nay

Hướng dẫn Khôi phục cài đặt iPhone bằng phím cứng


