Lệch khớp cắn là gì? Nguyên nhân dẫn đến tình trạng sai lệch khớp cắn
07/06/2025
Nội dung bài viết
Sai lệch khớp cắn là một trong những vấn đề răng miệng phổ biến hiện nay. Dù không gây nguy hiểm trực tiếp, tình trạng này vẫn ảnh hưởng đáng kể đến thẩm mỹ, khả năng ăn nhai và có thể là nguyên nhân gây ra nhiều bệnh lý răng miệng khác. Cùng Tripi khám phá sâu hơn về hiện tượng này nhé!
Hiểu đúng về lệch khớp cắn
Khái niệm lệch khớp cắn là gì?Khớp cắn là sự tương quan giữa răng hàm trên và hàm dưới, bao gồm độ đối xứng và mức độ tiếp xúc giữa các răng cũng như xương hàm trong trạng thái nghỉ hoặc khi nhai.
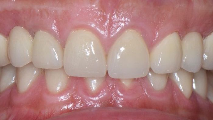
Lệch khớp cắn là tình trạng khi các răng hàm trên và dưới không khớp nhau hoàn toàn khi cắn chặt, hoặc răng mọc chen chúc, không đều, gây ảnh hưởng đến thẩm mỹ, chức năng nhai và phát âm.
Phân loại các dạng sai lệch khớp cắn
Khớp cắn sâu – Vấn đề sai lệch thường gặp
Tình trạng khớp cắn sâuKhớp cắn sâu là một dạng sai lệch khớp cắn gây mất cân đối giữa hai hàm, khiến hàm dưới bị đẩy lùi và ẩn sâu vào trong so với hàm trên. Nhìn nghiêng, răng hàm trên phủ lên đến 3/4 chiều cao răng hàm dưới. Tình trạng này không chỉ ảnh hưởng đến vẻ hài hòa khuôn mặt mà còn gây khó khăn trong việc ăn nhai hàng ngày.
Khớp cắn ngược (răng móm) – Mất cân đối nghiêm trọng giữa hai hàm
Tình trạng răng móm (khớp cắn ngược)Khớp cắn ngược, hay còn gọi là răng móm, là sự sai lệch khiến cung hàm dưới phát triển quá mức và nhô ra phía trước, che phủ hàm trên. Khi quan sát nghiêng, môi dưới sẽ lấn át môi trên, làm gương mặt mất cân đối. Tình trạng này không chỉ ảnh hưởng đến ngoại hình mà còn tác động lâu dài đến chức năng ăn nhai và sức khỏe răng miệng.
Khớp cắn hở – Khi răng không thể khép chặt
Tình trạng khớp cắn hởKhớp cắn hở xảy ra khi các răng hàm trên và dưới không thể tiếp xúc với nhau, thường gặp ở nhóm răng trước hoặc sau trên cung hàm. Đặc biệt, nếu bị cắn hở ở răng cửa, khi khép miệng lại có thể thấy rõ lưỡi ngay cả ở trạng thái nghỉ. Đây là dạng sai lệch nghiêm trọng ảnh hưởng lớn đến khả năng nhai và diện mạo gương mặt.
Khớp cắn chéo – Sự lệch lạc khó nhận biết
Biểu hiện khớp cắn chéoKhớp cắn chéo là tình trạng sai lệch khó phát hiện từ bên ngoài và thường chỉ lộ rõ khi người bệnh cười. Răng trên cung hàm mọc lệch lạc, phân bố không đều thành từng nhóm, gây hiện tượng răng thò thụt hỗn loạn, phá vỡ tính đối xứng giữa hai hàm, khiến người nhìn không thể xác định rõ là bị hô hay móm.
Những nguyên nhân dẫn đến sai lệch khớp cắn
Yếu tố gây nên tình trạng sai khớp cắn- Di truyền là nguyên nhân chính, chiếm đến 70% các trường hợp lệch khớp cắn và có thể ảnh hưởng đến nhiều thế hệ trong gia đình.
- Các thói quen xấu từ nhỏ như đẩy lưỡi, mút tay, ngậm ti giả lâu ngày cũng dễ gây ra tình trạng này.
- Chấn thương hoặc tai nạn làm gãy hay lệch cấu trúc xương hàm là yếu tố nguy cơ cao.
- Những thiết bị phục hình hoặc niềng răng không chuẩn xác cũng có thể gây sai lệch khớp cắn.
- Cách chăm sóc răng miệng không đúng cách.
- Nhiều trường hợp mất răng sớm làm răng khác mọc lệch, gây chen chúc và dẫn đến sai khớp cắn.
Biểu hiện nhận biết lệch khớp cắn
Các dấu hiệu của tình trạng lệch khớp cắn- Răng mọc lệch, đường giữa răng cửa hai hàm không trùng khớp mà bị lệch sang một bên.
- Thường xuyên bị cắn vào má trong hoặc lưỡi khi nói chuyện hoặc ăn uống.
- Gặp khó khăn trong việc cắn và nhai, cảm giác mỏi hàm thường xuyên.
- Khó khăn khi phát âm, nói không rõ ràng.
- Không thể ngậm kín miệng, thường xuyên phải thở bằng miệng thay vì bằng mũi.
Tác động tiêu cực từ tình trạng lệch khớp cắn
Hệ lụy của lệch khớp cắn đối với sức khỏe và thẩm mỹLệch khớp cắn không chỉ ảnh hưởng đến khả năng ăn nhai, phát âm mà còn gây mất cân đối gương mặt, giảm thẩm mỹ và tiềm ẩn nguy cơ mắc các bệnh lý răng miệng khác.
- Sai lệch khớp cắn khiến việc vệ sinh răng miệng trở nên khó khăn, không thể làm sạch hoàn toàn vi khuẩn và mảng bám, từ đó làm tăng nguy cơ sâu răng, viêm nướu, viêm nha chu…
- Khả năng ăn nhai và phát âm bị ảnh hưởng rõ rệt do lực cắn không đều, cơ hàm phải hoạt động quá mức dẫn đến tình trạng rối loạn khớp thái dương hàm.
- Gương mặt mất cân đối, nụ cười lộ khuyết điểm khiến người mắc cảm thấy mất tự tin, hạn chế giao tiếp, ảnh hưởng đến cuộc sống và công việc.
Giải pháp phòng ngừa và điều trị lệch khớp cắn hiệu quả
Các phương pháp ngăn ngừa và cải thiện tình trạng sai lệch khớp cắn- Niềng răng: Là phương pháp phổ biến giúp khắc phục tình trạng sai lệch khớp cắn. Bác sĩ sẽ sử dụng khí cụ chỉnh nha để đưa răng về đúng vị trí, đảm bảo sự cân đối và hài hòa cho cung hàm.
- Phẫu thuật hàm: Áp dụng cho những trường hợp lệch khớp cắn nghiêm trọng. Bác sĩ sẽ can thiệp trực tiếp vào xương hàm để điều chỉnh cấu trúc phù hợp với từng tình trạng cụ thể.
Tripi hy vọng qua bài viết này, bạn đã có cái nhìn rõ ràng hơn về sai lệch khớp cắn để chăm sóc răng miệng đúng cách và kịp thời.
Tham khảo: vinmec.com
Khám phá các dòng nước súc miệng tại Tripi để giữ hơi thở luôn thơm mát mỗi ngày nhé!
Tripi - Người bạn đồng hành đáng tin cậy trong hành trình chăm sóc sức khỏe và sắc đẹp
Du lịch
Ẩm thực
Khám phá
Đi Phượt
Vẻ đẹp Việt Nam
Chuyến đi
Có thể bạn quan tâm

Khám phá 11 địa chỉ bán bánh kem chất lượng tại Sóc Trăng

Khám phá 3 địa chỉ bún cá chấm nổi tiếng nhất TP.HCM

Khám phá 10 địa điểm ăn trưa tuyệt vời tại TP. Nha Trang, Khánh Hoà

Khám phá 10 cửa hàng bán balo và túi xách đẹp nhất tại Sài Gòn

Top 6 quán bar độc đáo nhất bạn không nên bỏ qua khi đến Bình Dương


